Black Friday Special: Bis zu CHF 800.– Rabatt auf Aligner & Veneers. Nur bis 28.11.23. Jetzt profitieren.
Auf dem roten Teppich haben sie es alle. Das perfekte, weisse Lächeln. Hauchdünne Zahnverblendungen, sogenannte Veneers, machen das möglich. Und auch du kannst es den Stars gleichmachen.
Lesezeit: 5min
·
Thema: Veneers
Medizinische bestsmile Redaktion
Autor
:quality(75)/f/80634/2000x1000/b55f4323fb/hollywood-smile-header.jpg)
Cristiano Ronaldo, Tom Cruise und Miley Cyrus haben es: ein harmonisches Zahnbild aus zwei symmetrischen Reihen an geraden, weissen Zähnen. Eine einheitliche Form und das strahlende Weiss sind genau das, was den berühmten Look der Stars ausmacht und als Hollywood Smile bekannt ist.
Bereits im Hollywood der 1930er Jahre wurden am Drehtag dünne Kunststoffschalen auf die Zähne der Stars geklebt. Das Ziel? Ein perfektes, strahlendes Lächeln für die Kamera.
Die Definition von einem Hollywood Smile variiert. Einige verstehen darunter lediglich ein strahlendes Weiss, andere ein perfektes Lächeln mit Veneers. Heute ist Hollywood Smile auch vermehrt für eine ganz spezifische Zahnform bekannt – alle Zähne gleich lang. Besonderes Augenmerk liegt dabei auf den Eckzähnen, die von Natur aus oft spitzig sind. Bei einer Veneers Behandlung mit dem Ziel eines Hollywood Smiles wird diese Form häufig abgerundet, um sie den angrenzenden Zähnen anzupassen.
Das typische Hollywood Lächeln kann man also mit Veneers erreichen. Im Jahr 1928 wurden diese vom kalifornischen Zahnarzt Charles Pincus erfunden, um die Zähne von Schauspielerinnen und Schauspieler für den Filmdreh zu verschönern. Die Wurzeln der Veneers liegen also, kaum verwunderlich, in Hollywood. Marilyn Monroe oder James Dean sollen unter den ersten gewesen sein, die sich die Verblendschalen nicht nur vorübergehend für einen Dreh einsetzen liessen, sondern sich für permanente Veneers entschieden. Richtig gelesen, auch oder schon Marilyn Monroe und James Dean hatten Veneers.
:quality(75)/f/80634/2000x1000/4ec007ad7a/veneers-hollywood-smile-pinzette.jpg)
Was vor fast einem Jahrhundert noch aus Kunststoff bestand und lediglich für einen Drehtag hielt, ist heute zum Standard für die Stars geworden. Seit den 1950er Jahren wurde es möglich, Veneers dauerhaft anzubringen. Gefertigt aus hochwertiger Keramik sind Veneers heute kaum von natürlichen Zähnen zu unterscheiden und bieten eine langfristige Lösung zur Zahnverschönerung und -korrektur.
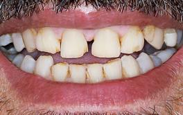
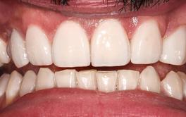
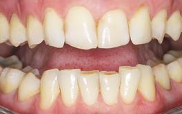
Mit Veneers können verschiedene Zahnkorrekturen und Zahnverschönerungen vorgenommen werden. Von gelben oder verfärbten Frontzähnen bis hin zur vollen Transformation des Lächelns verschönern Veneers die Zähne in kurzer Zeit. Sieh dir die Vorher-nachher-Bilder gleich selbst an.
Möchtest auch du deine Zähne oder dein Lächeln verschönern? Wähle jetzt ganz einfach online deinen Gratis Termin und lass dich von unseren fachkundigen Zahnärztinnen und Zahnärzten beraten.
Ein Lächeln wie aus Hollywood ist vor allem eines: strahlend weiss. Eine gute Mundhygiene, regelmässiges Zähneputzen und Zahnarztbesuche gehören auf jeden Fall dazu. Nicht alle sind aber mit natürlich weissen oder geraden Zähnen gesegnet. Heutzutage ist ein Hollywood Smile aber nicht mehr nur den Stars vorbehalten. Es gibt verschiedene Möglichkeiten, ein solches Lächeln zu erhalten.
Natürlich darf das Original für ein Hollywood Lächeln nicht fehlen: Veneers. Die hauchdünnen Keramikschalen werden auf deinen Zähnen angebracht und schaffen sofort ein harmonisches Zahnbild oder eben, das berühmte Hollywood Smile.
:quality(75)/f/80634/2000x1000/3d7141e5e0/hollywood-smile-vorher-nachher.jpg)
Auch im heutigen Hollywood sind Veneers eine beliebte Behandlung. Auf dem Big Screen, auf dem Fussballfeld oder auf der Bühne – das berühmte Hollywood Smile ist fast überall zu sehen und der Trend scheint nicht abzuflachen. Diese Stars sind unter anderem für ihr Hollywood Smile bekannt:
Veneers können eine Vielzahl kosmetischer Zahnprobleme korrigieren:
Wenn Veneers nicht möglich sind, zum Beispiel bei fehlenden Zähnen aufgrund von Karies oder Entzündungen, kann auch eine Zahnbrücke eine gute Alternative sein. Zahnbrücken sind festsitzende Zahnersätze und im Gebiss fest verankert. Sie stellen die Ästhetik und Funktion des Zahnapparates wieder her und bieten ein harmonisches Zahnbild. Für mehr Infos dazu, lese unseren Artikel über Zahnbrücken.
Aufhellende Zahnpasta, Mundwasser mit Whitening Effect oder Bleaching Gel – einfache Möglichkeiten die Zähne aufzuhellen, gibt es inzwischen viele. Von der Anwendung zu Hause mit einem Home Bleaching Kit bis zum professionellen Bleaching beim Zahnarzt können die Zähne in kurzer Zeit und sichtbar um ein Paar Farbstufen heller gemacht werden.
Verfärbungen durch den Konsum von Kaffee, Tee, Rotwein oder anderen färbenden Lebensmittel können mit einem Bleaching aufgehellt werden. Entscheidest du dich bei bestsmile für eine Zahnkorrektur mit Aligner beider Kiefer, erhältst du ein Home Bleaching Kit gratis dazu.
:quality(75)/f/80634/2000x1000/ebb6881c83/bleaching-fuer-weisse-zaehne.jpg)
Die Kosten für dein Hollywood Smile können nach Anbieter und Anzahl der benötigten Veneers variieren. Bei bestsmile kennst du die Kosten von Beginn an und du kannst deine Veneers auch bequem in monatlichen Raten ab CHF 80.– bezahlen.
Anzahl
Einmalig
Monatspreise
4 Stk.
CHF 4'800
ab CHF 100
6 Stk.
CHF 7'200
ab CHF 140
8 Stk.
CHF 8'600
ab CHF 170
10 Stk.
CHF 10'000
ab CHF 200
12 Stk.
CHF 11'400
ab CHF 230
Ab 6 Stück nur CHF 700.– pro weiteres Veneer
Für weitere Veneers beraten wir dich gerne vor Ort.
Auch bei uns in der Schweiz gewinnt der Trend aus Hollywood vermehrt an Beliebtheit. Innerhalb der letzten 2 Jahre ist die Nachfrage für Veneers in der Schweiz um das doppelte gestiegen. Die erhöhte Nachfrage macht auch Reisen für Zahnkorrekturen ins Ausland zugänglicher denn je. Doch das kommt nicht ohne Risiken. Ausland Veneers werden oft aus billigen Materialien und schlechter Qualität gefertigt. bestsmile Kundin Doaa musste diese Erfahrung mit Ausland Veneers gleich zweimal machen.
Mit einem Hollywood Smile aus der Schweiz bist du auf der sicheren Seite, denn Zahnkorrekturen und Zahnbehandlungen im Ausland sind nicht selten trügerisch.
:quality(75)/f/80634/2000x1000/881922aec1/hollywood-smile-schweiz.jpg)
Dein filmreifes Lächeln erhältst du mit bestsmile Veneers einfach und zum fairen Preis. bestsmile Veneers werden in der eigenen Produktion in der Schweiz massgefertigt für dich hergestellt. Auf deine Veneers erhältst du 10 Jahre Garantie. Sollten sie sich einmal lösen, sind wir jederzeit für dich da und ersetzen diese kostenlos Hollywood Smile garantiert!
Die Erfahrungen mit Veneers zeigen, wie sich das Leben von zahlreichen Kundinnen und Kunden verändert hat und sie dadurch ein neues Selbstvertrauen gefunden haben.
:quality(75)/f/80634/828x848/3a4e26aac4/topic-cta-box-image.png)